B-H11-hC3*102G mice

C57BL/6-Igs2tm1(C3*R102G)Bcgen/Bcgen • 113286

B-H11-hC3*102G mice

Product nameB-H11-hC3*102G mice
Catalog number113286
Strain nameC57BL/6-Igs2tm1(C3*R102G)Bcgen/Bcgen
Strain backgroundC57BL/6
NCBI gene ID718 (Human)
AliasesASP; C3a; C3b; AHUS5; ARMD9; CPAMD1; HEL-S-62p

在此页面上

  • Description
  • Targeting strategy
  • Phenotypic analysis
  • Efficacy

海报

查看全部

    发表文章

      Description
      • Complement component C3 plays a central and multifaceted role in this process by maintaining the cascade in a state of readiness, serving as the convergence point for activation pathways, driving the amplification of the complement response, executing direct effector functions, and aiding in the coordination of downstream immune responses.
      • Gene editing strategy: The genome sequence of the human C3 gene with R102G mutation encodes the whole molecule (ATG to STOP codon), including 3’UTR, was inserted into the Hipp11 (H11) locus in B-H11-hC3*R102G mice. The human C3 expression is driven by the human C3 promoter. (R102G was an SNP named C3F. The C3F variant is associated with several diseases, including IgA nephropathy, C3G, and age-related macular degeneration.)
      • Validation: Human C3 mRNA was exclusively detectable in homozygous B-H11-hC3*R102G mice. Human C3 was exclusively detectable in B-H11-hC3*R102G mice. C3 was detected in the liver, brain, and kidney of B-H11-hC3*R102G mice, and in the liver, eye, brain, and kidney of wild-type C57BL/6JNifdc mice. The ALT, AST, ALP, and UREA were increased in male B-H11-hC3*R102G mice. The liver of male B-H11-hC3*R102G mice (7/8) showed fibroblast proliferation and inflammatory cell infiltration. The kidney of male B-H11-hC3*R102G mice (3/8) showed basophilic change of renal tubules, increased interstitial cells, and dilatation of renal tubules.
      • Survival Curve: The survival rate of male B-H11-hC3*R102G mice was around 50% at 14 weeks old.
      • The inhibitory efficiency of the small nucleic acid drugs: The human C3 in the siRNA treatment group was significantly reduced after treatment. And the survival rate was increased after treatment.
      • Application: Applied to the efficacy evaluation and toxicity assessment of small nucleic acid drugs in kidney and liver disease.
      Targeting Strategy

      Gene targeting strategy for B-H11-hC3*R102G mice. The genome sequence of human C3 gene with R102G mutation encodes the whole molecule (ATG to STOP codon), including 3’UTR, were inserted into the Hipp11 (H11) locus in B-H11-hC3*R102G mice. The human C3 expression is driven by the human C3 promoter. (R102G was an SNP named C3F. The C3F variant is associated with several diseases, including IgA nephropathy, C3G, and age-related macular degeneration.)

      mRNA expression analysis

      Strain specific analysis of C3 mRNA expression in wild-type C57BL/6JNifdc and B-H11-hC3*R102G mice by RT-PCR. Liver RNA was isolated from wild-type C57BL/6JNifdc(+/+) and homozygous B-H11-hC3*R102G mice(H/H), then cDNA libraries were synthesized by reverse transcription, followed by PCR with human C3 primers. Human C3 mRNA was exclusively detectable in homozygous B-H11-hC3*R102G mice.

      Protein Expression Analysis in Serum

      Strain specific C3 expression analysis in wild-type C57BL/6JNifdc mice, heterozygous B-H11-hC3*R102G mice, and homozygous B-H11-hC3*R102G mice by ELISA. Serum was collected from wild-type C57BL/6JNifdc mice (+/+), heterozygous B-H11-hC3*R102G mice (H/+), and homozygous B-H11-hC3*R102G mice (H/H), and analyzed by ELISA (mouse C3: ab157711, human C3: ab108823). Human C3 was exclusively detectable in B-H11-hC3*R102G mice. Values are expressed as mean ± SEM.

      Strain specific C3 expression analysis in B-H11-hC3*R102G mice by ELISA. Serum was collected from homozygous B-H11-hC3*R102G mice (H/H) (male and female, n=3). The expression level of human C3 were analyzed by ELISA (human C3 ELISA kit: Abcam, ab108823). Human C3 was exclusively detectable in humanized B-H11-hC3*R102G mice (n=3). Values are expressed as mean ± SEM.

      Immunohistochemistry (IHC) Staining Analysis

      IHC Staining in B-H11-hC3*R102G mice. The brain, liver, kidney, and eye tissues of wild-type C57BL/6JNifdc mice (+/+) and heterozygous B-H11-hC3*R102G mice (H/+) were isolated at 15 weeks old and analyzed with IHC staining (male, n=1). Results showed that C3 was detected in the liver, brain, and kidney of B-H11-hC3*R102G mice, and in the liver, eye, brain, and kidney of wild-type C57BL/6JNifdc mice, as the antibody cross-recognizes both human and mouse C3. (Abcam, ab200999). Red arrows indicate a positive signal.

      Histopathological Analysis

      Histopathological analysis of organs in B-H11-hC3*R102G mice. The brain and eye tissues of wild-type C57BL/6JNifdc mice (+/+) and heterozygous B-H11-hC3*R102G mice (H/+) were isolated at 15 weeks old and analyzed with H&E staining (male, n=1). There were no obvious abnormalities in the brain and eye in heterozygous B-H11-hC3*R102G mice and wild-type C57BL/6JNifdc mice.

      Sirius Red Staining Analysis

      Sirius Red Staining of liver in B-H11-hC3*R102G mice. The liver of wild-type C57BL/6JNifdc mice (+/+) and heterozygous B-H11-hC3*R102G mice (H/+) were isolated at 16 weeks old and analyzed with Sirius Red Staining (male, n=6). Results showed that in the liver tissue of heterozygous B-H11-hC3*R102G mice, fibrous hyperplasia was observed in all portal areas of the liver. Blue arrows indicate the Sirius red-positive signals of proliferated collagen fibers. There were no obvious abnormalities in wild-type C57BL/6JNifdc mice.

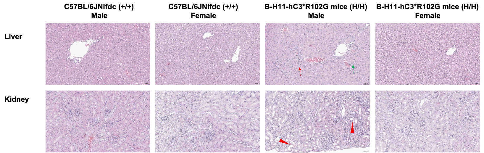
      Histopathological Analysis

      Histopathological analysis of organs in B-H11-hC3*R102G mice. The liver and kidney of wild-type C57BL/6JNifdc mice (+/+) and homozygous B-H11-hC3*R102G mice (H/H) were isolated at 15 weeks old and analyzed with H&E staining (male and female, n=8). There were no obvious abnormalities found in wild-type C57BL/6JNifdc mice. The liver of male B-H11-hC3*R102G mice (7/8) showed fibroblast proliferation and inflammatory cell infiltration. The kidney of male B-H11-hC3*R102G mice (3/8) showed basophilic change of renal tubules, increased interstitial cells, and dilatation of renal tubules. There were no obvious abnormalities in female B-H11-hC3*R102G mice. Red arrows: increased fibroblasts; Green arrows: biliary duct proliferation; Red triangles: renal tubular dilatation and basophilic change.

      Biochemistry Analysis

      Analysis of blood biochemicals in homozygous B-H11-hC3*R102G mice and wild-type C57BL/6JNifdc mice. Serum was collected from wild-type C57BL/6JNifdc mice (+/+) and homozygous B-H11-hC3*R102G mice (H/H) (male, n=8; female, n=8, 15 weeks old) and analyzed for biochemistry. The ALT, AST, ALP, and UREA were increased in male B-H11-hC3*R102G mice. Values are expressed as mean ± SEM. Significance was determined by t-test, *p<0.05,**p<0.01, ***p<0.001.

      Survival Curve

      Survival Curve of B-H11-hC3*R102G mice. Graph showing the survival curve of heterozygous B-H11-hC3*R102G mice (H/+) (male, n=12; female, n=12), and homozygous B-H11-hC3*R102G mice (H/H) (male, n=20; female, n=20). The survival rate of male B-H11-hC3*R102G mice was around 50% at 14 weeks old. And we didn’t observe that mice died in the female B-H11-hC3*R102G mice until 16 weeks old.

      Inhibitory Efficiency of the Nucleic Acid Drugs Against the human C3

      The inhibitory efficiency of the nucleic acid drugs against human C3 in homozygous B-H11-hC3*R102G mice. B-H11-hC3*R102G mice (H/H) were divided into two groups based on human C3 expression level (male, 8 weeks old, n=8). The human C3 targeted nucleic acid drugs (synthesized according to patents), and PBS were administered to the mice individually. The nucleic acid drug was administered in the form of a PBS aqueous solution. (A) The schematic diagram of experimental processing. (B) The expression of human C3 protein in serum after treatment. (C) The survival curve after treatment.

      * When publishing results obtained using this animal model, please acknowledge the source as follows: The animal model [B-H11-hC3*102G mice] (Cat# 113286) was purchased from Biocytogen.