您可能也喜欢
眼科药物最新进展
近日,全球眼科领域的龙头企业 参天制药(Santen) 宣布重大合作消息——其全资子公司 参天中国 已与中国创新型生物制药公司 荣昌生物 签署独家授权协议。根据协议,参天制药将获得荣昌生物创新研发的 双靶点融合蛋白药物 RC28-E 注射液 在中国境内的有偿许可,该产品主要用于治疗 眼部新生血管性疾病,通过同时靶向 血管内皮生长因子(VEGF) 与 成纤维细胞生长因子(FGF),有望为相关患者提供全新的治疗选择。
眼科领域介绍及药物研究情况
眼睛是人体最精密的器官之一,由角膜、晶状体、视网膜、黄斑等多种精细结构共同构成。然而,随着人口老龄化进程加快,眼科疾病的发生率也在持续上升。根据世界卫生组织(WHO)的最新数据,目前全球至少有 22亿人存在视力损伤,其中超过 10亿例本可预防或尚未得到治疗。
图1:眼部结构图
在众多眼科疾病中,部分常见疾病(如结膜炎、睑缘炎、干眼症等)通常不会导致永久性视力损害。但另一部分疾病则严重威胁视力健康,例如 白内障、青光眼、年龄相关性黄斑变性(Age-related Macular Degeneration,AMD)、视网膜色素变性(Retinitis Pigmentosa)、Leber先天性黑矇(Leber's congenital amaurosis,LCA)、视网膜劈裂症(Retinoschisis)、糖尿病视网膜病变(Diabetic Retinopathy)等。这些疾病的高发和致盲风险,使其成为全球公共卫生与临床治疗的重点关注对象。数据显示,到2030年,全球青光眼患者预计将增至 9500万人,而AMD患者则可能超过 2.4亿人。
除了疾病负担,眼科市场规模也在快速增长。近几年,传统的小分子药物依旧发挥重要作用,但 抗体药物、siRNA、基因治疗 以及新型眼部药物递送系统的发展,正在为临床带来前所未有的突破。例如,抗VEGF抗体在治疗新生血管性黄斑变性中已成为标准方案,siRNA药物在眼底病中的应用也正在加速推进,基因治疗更是有望为遗传性眼病提供根本性解决方案。
从产业格局来看,眼科已成为全球创新药物的重要赛道之一。CDDI数据库显示,生物制品、基因治疗、抗体药物、递送系统等方向均保持高活跃度,预示着未来眼科治疗手段将更加精准、多样化。随着科研与资本的不断投入,眼科创新药物正在从“功能改善”走向“治愈可能”。

图2:眼科药物研究情况
数据来源:CDDI
百奥赛图开发了一系列眼科疾病模型,可稳定有效的为该领域药物评价提供“金标准”。本文将展示3个最新上市的眼科疾病小鼠数据,B-Pde6b KO mice、B-Cep290*rd16 mice、B-Rs1 KO mice。(文末附眼科相关疾病模型及靶点人源化动物模型总列表)

01视网膜色素变性
在正常视网膜中,PDE6b负责分解cGMP,维持光感受器细胞内钙离子稳态和通道开闭。若PDE6b基因突变,cGMP异常积累,导致钙离子持续内流,激活caspase、calpain等细胞死亡通路,最终引发光感受器凋亡。这一过程是原发性视网膜色素变性发生发展的重要机制。

图3:因 cGMP 积累所致的可能视锥细胞死亡途径[2]
B-Pde6b KO mice部分数据
01.基因打靶策略

在B-Pde6b KO mice中,小鼠 Pde6b 基因的第1-22号外显子被敲除,结果导致小鼠体内不再表达PDE6B蛋白。
02.
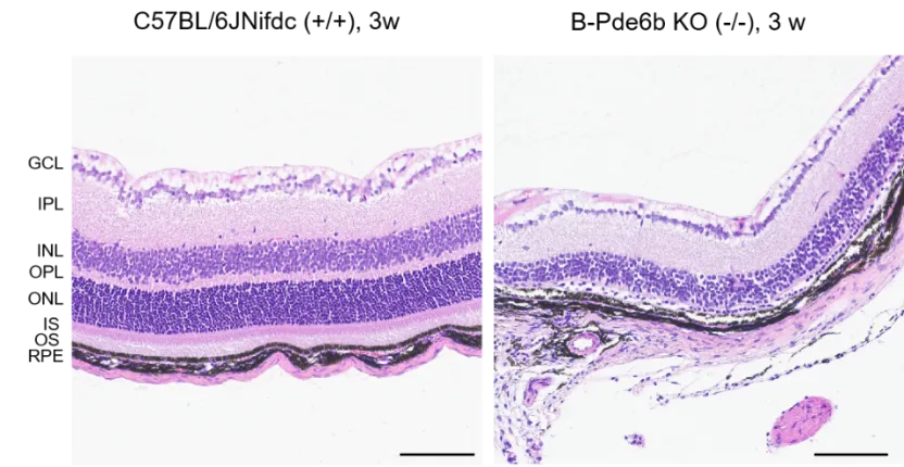
HE染色实验结果

野生型C57BL/6JNifdc小鼠与B-Pde6b KO mice的HE染色代表性图像。
收集并分析了3周龄雌性野生型C57BL/6JNifdc小鼠(+/+)和B-Pde6b KO mice(-/-)的视网膜组织,采用H&E染色进行观察。结果显示,与C57BL/6JNifdc小鼠相比,B-Pde6b KO mice的视网膜层结构紊乱,内核层、外网状层和视锥杆层等多层结构消失,同时外核层的细胞数量也明显减少。比例尺为100 μm。
RPE:视网膜色素上皮;OS:外节;IS:内节;ONL:外核层;OPL:外网状层;INL:内核层;IPL:内网状层;GCL:神经节细胞层。
02.Leber先天性黑矇
CEP290 基因突变是导致 Leber 先天性黑矇(LCA)的常见原因之一。CEP290 蛋白主要定位在感光细胞连接纤毛的过渡区(CC/TZ),在维持纤毛结构稳定和物质运输中发挥关键作用。突变会破坏纤毛的屏障功能和蛋白运输,导致外节盘膜形成异常和感光细胞退化,最终引起视网膜功能丧失。

图4:CEP290 在视杆细胞和视锥细胞中的表达[3]
B-Cep290*rd16 mice部分数据
01.基因打靶策略

在 B-Cep290*rd16 mice中,去除了 Cep290 基因的第 37 至 41 外显子。因此,功能性 CEP290 蛋白的表达受到破坏。
02.HE染色实验结果

C57BL/6JNifdc 野生型小鼠与 B-Cep290*rd16 mice的 HE 染色代表性图像。
收集并分析了 C57BL/6JNifdc 野生型小鼠(+/+)和 B-Cep290*rd16 mice(-/-)(3 周龄或 6 周龄,雄性)的视网膜组织,经 HE 染色后进行比较。结果显示,与 C57BL/6JNifdc 小鼠相比,B-Cep290*rd16 mice的视网膜层结构紊乱,外核层、外丛状层以及视锥-视杆层等多层结构消失。比例尺,100 μm。
RPE:视网膜色素上皮层;OS:外节;IS:内节;ONL:外核层;OPL:外丛状层;INL:内核层;IPL:内丛状层;GCL:神经节细胞层。
03.视网膜劈裂症
在视网膜劈裂症中,Retinoschisin 蛋白通过结合 Na/K ATPase 的 β 亚基,促进 Na/K ATPase 的寡聚化,并在其胞质侧募集或激活 SARM1。该复合物被认为在维持细胞及突触结构与功能中发挥关键作用,可能通过调控细胞骨架相关蛋白和信号通路来实现。进一步地,这种作用影响了细胞与细胞外基质的相互作用,从而维持视网膜细胞的有序结构。一旦该机制受损,即会导致视网膜层结构紊乱,出现视网膜劈裂的病理表现。

图5:视网膜劈裂蛋白-Na/K ATP酶-SARM1 复合物的示意图[4]
B-Rs1 KO mice部分数据
01.基因打靶策略

在 B-Rs1 KO mice中,去除了 Rs1 基因的第 1 至 3 外显子。因此,小鼠的 RS1 蛋白不再表达。
02.HE染色实验结果

C57BL/6JNifdc 野生型小鼠与 B-Rs1 KO mice的 HE 染色代表性图像。
收集并分析了 C57BL/6JNifdc 野生型小鼠(+/Y)和 B-Rs1 KO mice(-/Y)(7 周龄和 17 周龄,雄性)的视网膜组织,经 HE 染色后进行比较。结果显示,与 C57BL/6JNifdc 小鼠相比,B-Rs1 KO mice的视网膜层结构紊乱,外核层和内核层等多层结构消失。同时,B-Rs1 KO mice还出现了视网膜劈裂现象。比例尺,100 μm。
RPE:视网膜色素上皮层;OS:外节;IS:内节;ONL:外核层;OPL:外丛状层;INL:内核层;IPL:内丛状层;GCL:神经节细胞层。
百奥赛图眼科领域相关模型

参考资源:
[1] Cheng, K. J. , Hsieh, C. M. , Nepali, K. , & Liou, J. P. . (2020). Ocular disease therapeutics: design and delivery of drugs for diseases of the eye. Journal of Medicinal Chemistry.
[2] Iribarne, M. , & Masai, I. . (2017). Neurotoxicity of cgmp in the vertebrate retina: from the initial research on rd mutant mice to zebrafish genetic approaches. Journal of Neurogenetics, 1-14.
[3] Cideciyan, A. V. , & Jacobson, S. G. . (2019). Leber congenital amaurosis (lca): potential for improvement of vision. Investigative Ophthalmology & Visual Science, 60(5), 1680.
[4] Molday, L. L. , Wu, W. W. H. , & Molday, R. S. . (2007). Retinoschisin (rs1), the protein encoded by the x-linked retinoschisis gene, is anchored to the surface of retinal photoreceptor and bipolar cells through its interactions with a na/k atpase-sarm1 complex. Journal of Biological Chemistry, 282(45), 32792-801.