您可能也喜欢
小鼠肿瘤模型对研究肿瘤生长的生物学过程和抗肿瘤治疗药物的研发非常重要,目前常见的小鼠肿瘤模型有syngenic model, CDX, PDX模型,但不同的小鼠肿瘤模型在应用上及模拟肿瘤真正发生过程上都有不同程度的局限性。比如传统移植肿瘤模型(TP)在血管化、生长速率、免疫浸润、炎症、肿瘤代谢、肿瘤源性TGF-β的影响等几个关键肿瘤特征上与人类肿瘤存在着不同。相比之下,自发肿瘤动物模型更为接近人类肿瘤的发生,但它们发展缓慢,生长变化大,很少用于系统性研究。
百奥赛图老龄鼠自发疾病模型项目希望通过对老龄鼠进行系统性的研究,建立一套新的、更接近疾病自然发生过程的模型和应用方法,助力新药研发的进程,提高新药研发临床转化率。
表1. 自发肿瘤(SP)和移植肿瘤(TP)模型对比[1]
癌症也被定义为一种衰老的疾病,大多数癌症的发病率随着年龄的增长而急剧增加。肿瘤进展通常需要生长途径的基因突变以驱使过度增殖表型,以及能够绕过衰老的突变;许多关键因素与细胞老化相关,包括基因组损伤积累增加、端粒磨损、表观遗传改变、蛋白平衡受损和营养感知失调。因此,免疫衰老是致癌的另一个促成因素,对癌症治疗研究至关重要。选择自发肿瘤小鼠模型时,还应当考虑小鼠年龄以更加精确模拟人类的真实肿瘤微环境。
癌症发生中的免疫衰老[2]
根据国家癌症中心2022年全国癌症报告统计,肺癌居于中国高发癌症之首,其中非小细胞肺癌(NSCLC)约占85%,是主要病理组织类型。目前不可切除NSCLC的一线治疗方案主要为放化疗,晚期NSCLC患者根据表面标志物进行靶向治疗或免疫药物治疗,主要药物有PD-1单抗、TKI抑制剂等。
据研究发现,FVB品系老龄鼠自发肺部肿瘤概率高,为提高药物临床转化成功率,我们利用Micro-CT平台对FVB品系老龄鼠进行扫描,并建立了完整的、高通量的小鼠肺癌筛查、诊断和药物药效评价方案。
诊断和药效研究策略
01.Micro-CT 小动物肿瘤筛查平台
Modified Micro-CT
小动物CT是临床前药物研究的重要工具,可以纵向提供有价值的疾病进展和治疗信息。可广泛应用于骨骼研究、生物材料研究与开发、肿瘤与心血管疾病机理研究与评价、新药开发等领域。
我们建立的Micro-CT高通量筛查平台可以在短时间内实现小型啮齿动物(小鼠或大鼠)体内的结构成像,以及对离体动物组织、生物材料等样品的无损三维检测。
高通量扫描模式下,扫描仓可以同时容纳6只小鼠,扫描精度满足后续分析需求,可用于高通量筛选及分析。
CT扫描
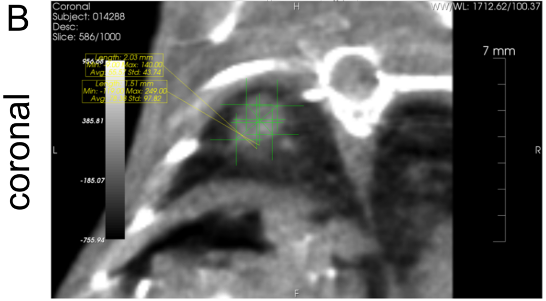
02.FVB老龄鼠自发肺癌Micro-CT诊断



(A)横截面; (B)冠状面;(C)矢状面;CT扫描三个截面中最大的直径用于后续药效评价典型图示。
03.FVB老龄鼠自发肺癌的病理诊断

(A)正常肺部病理切片;(B)肺腺癌,跟文献报道的发病情况一样,表明该模型可以用于模拟非小细胞肺癌。
04.FVB老龄鼠自发肺癌小分子药效评价(Preliminary Date)
方案设计:单臂试验
根据RECIST指南测试药物响应

(A) 肿瘤最大直径变化百分比,(B) 肿瘤最大直径定量分析,(C) 体重变化,N=5。
(A) 肿瘤最大直径变化百分比,(B) 肿瘤最大直径定量分析,(C) 体重变化,N=4。
05.不同品系老龄鼠自发肿瘤模型及其应用领域
根据调研发现,不同品系老龄鼠可自发不同的肿瘤类型[3],可应用于癌症(肺癌、肝癌、乳腺癌等)、代谢类疾病(糖尿病、NASH、肾损伤等)、骨质疏松以及神经退行性疾病等等领域。
我们开发了一套完整的老龄鼠自发肿瘤模型实验研究流程,以期为衰老相关疾病临床前研究提供技术支持,提高临床转化成功率。
老龄鼠的其他应用领域[4]
参考资料
[1] M.V. Guerin, V. Finisguerra, B.J. Van den Eynde, N. Bercovici, A. Trautmann, Preclinical murine tumor models: a structural and functional perspective, eLife 9 (2020).
[2] M. Fane, A.T. Weeraratna, How the ageing microenvironment influences tumour progression, Nature reviews. Cancer 20(2) (2020) 89-106.
[3] http://tumor.informatics.jax.org/mtbwi/dynamicGrid.do.
[4] Barbé-Tuana, F., Funchal, G., Schmitz, C.R.R. et al. The interplay between immunosenescence and age-related diseases. Semin Immunopathol 42, 545-557 (2020). https://doi.org/10.1007/s00281-020-00806-z.
[5] 仪器设备照片来源平生医疗科技。