您可能也喜欢

    却道天凉好个秋,你的关节还OK吗?

    却道天凉好个秋,你的关节还OK吗?

    November 24, 2022
    Share on:

    10月12日是世界关节炎日。据统计,目前全球关节炎患者约3.5亿,我国关节炎患者约1.22亿。关节炎作为我国最常见的慢性疾病之一,也被判为世界头号致残性疾病。其中,风湿性关节炎更是被称为“不死的癌症”。世界关节炎日的目的就是要提醒人们,对关节炎要早预防、早诊断、早治疗,防止致残。

    关节炎并非老年人“专属”,近年来逐渐呈现年轻化趋势。随着人们健康意识的不断提高,关节问题已经悄然挤进“国民健康困扰Top10”。常见的关节炎有四种,分别是:骨关节炎、类风湿性关节炎、强直性脊柱炎和痛风。

    类风湿性关节炎(RA)的病理及软骨和骨破坏的机制[1]

    RA的特征是增生性滑膜(血管翳)和T细胞的过度免疫反应。血管翳包括T细胞、滑膜成纤维细胞和巨噬细胞,可产生炎性细胞因子,如肿瘤坏死因子(TNF)-α、白细胞介素-1(IL-1)、IL-6和IL-17。

    常见的诱导型RA有胶原诱导关节炎(CIA)和胶原抗体诱导关节炎(CAIA)。CIA是RA研究最广泛的诱导型动物模型,相关信息可查看“不死的癌症--RA/CIA关节炎模型治疗新进展”。CAIA属于CIA模型的扩展,通过靶向Ⅱ型胶原抗体诱导关节炎的发生。

    BioMice百奥动物基于C57BL/6、BALB/c小鼠构建了稳定的胶原抗体诱导关节炎模型(CAIA,Collagen antibody Induced Arthritis),可用于相关药物的药效评价。同时,还运用基因编辑技术自主开发了一系列靶点人源化小鼠,也可应用于诱导关节炎模型以及相关的药效测试。


    部分模型数据展示

    B-hIL1A mice

    基本信息

    IL-1α在细胞表面受体进化之前就被认为是早期生物体中的转录因子。IL-1α在结构上与成纤维细胞生长因子有关,在上皮细胞、内皮细胞和基质细胞中均有表达,并可在造血细胞和非造血细胞中通过多种刺激上调,包括toll样受体(TLR)激动剂、炎症细胞因子(包括IL-1α和IL-1β)、氧化应激、脂肪酸诱导的线粒体解偶联和激素[2]

    蛋白表达分析

    ELISA法分析杂合B-hIL1A小鼠中的种属特异性IL1A表达。取LPS刺激的野生型和杂合B-hIL1A小鼠的细胞上清,用种属特异性IL1A ELISA试剂盒进行ELISA分析。小鼠IL1A在野生型小鼠和杂合B-hIL1A小鼠中均可检测到。人IL1A仅在杂合B-hIL1A小鼠中检测到,但在野生型小鼠中未检测到。ND,未检出。

    B-hIL1B mice

    IL1B信号通路

    在响应脂多糖(LPS)等刺激时,编码IL-1B的基因转录启动,IL-1B作为不活跃的前体蛋白合成,caspase-1将这个IL-1B前体蛋白裂解,生成活跃的IL-1B。多种因子可促进或抑制活性IL-1B的释放。一旦释放,IL-1B与IL-1受体辅助蛋白(IL-1RAcP)结合到IL-1RI,并触发信号转导,包括髓样分化初级反应蛋白88(MyD88)、IL-1受体相关激酶(IRAK-1)和IRAK-2的共定位,TNF受体相关因子6(TRAF-6)的募集和核因子kappa B(NFκB)与IkB复合物的激活。相反,IL-1受体类型Il(IL-1RII)不诱导信号转导[3]

    蛋白表达分析

    ELISA法分析纯合B-hIL1B小鼠中种属特异性IL1B表达。取LPS刺激的C57BL/6(+/+)和纯合B-hIL1B小鼠(H/H)骨髓细胞上清,用种属特异性IL1B ELISA试剂盒进行ELISA分析。小鼠IL1B在C57BL/6小鼠中可检测到。人IL1B仅在纯合B-hIL1B小鼠中可检测到,但在C57BL/6小鼠中未检测到。ND,未检出。

    B-hSPP1 mice

    基本信息

    SPP1(FOLH1、GCP2、NAALAD1),是一种II型跨膜糖蛋白,属于锌依赖性外肽酶超家族,具有叶酸水解酶和神经羧肽酶活性;人鼠同源性78%,KO小鼠可活可育;在肾、脑、唾液腺、肝脏、神经节、小肠及等部位低表达,在前列腺癌(PC)各阶段高表达,被认为是PC诊断和治疗的理想靶点[4]。

    蛋白表达分析

    ELISA法分析B-hSPP1小鼠中的种属特异性SPP1表达。收集野生型小鼠(+/+)和纯合B-hSPP1小鼠(H/H)血清,用种属特异性SPP1 ELISA试剂盒进行ELISA分析。小鼠SPP1在野生型小鼠中可检测到。人SPP1仅在纯合B-hSPP1小鼠中可检测到,但在野生型小鼠中未检测到。

    B-hIL18 mice

    基本信息

    白介素(IL)-18诱导类风湿性关节炎(RA)关节炎症和关节破坏的示意图。DC,树突状细胞;Th1 Ⅰ型,辅助性T细胞;Th0,Ⅰ型和Ⅱ型辅助性T细胞的前体;LTB4,白三烯B4;MMP,基质金属蛋白酶;ECM,细胞外基质;IFNc,干扰素c;TNFα,肿瘤坏死因子α;RANKL,NFkB配体的受体激活剂。在RA中,主要由巨噬细胞产生的IL-18激活T细胞和巨噬细胞产生促炎性细胞因子、趋化因子、粘附分子和RANKL,进而诱导白三烯B4的合成,诱导中性粒细胞迁移到炎症部位,刺激滑膜成纤维细胞和软骨细胞产生MMPs,诱导破骨细胞形成[5]

    蛋白表达分析

    ELISA法分析纯合B-hIL18小鼠中种属特异性IL18的表达。收集野生型C57BL/6小鼠(+/+)和纯合B-hIL18小鼠(H/H)血清,用种属特异性IL18ELISA试剂盒进行ELISA分析。小鼠IL18在野生型小鼠中可检测到。人IL18仅在纯合B-hIL18小鼠中可检测到,但在野生型小鼠中未检测到。

    B-hIL6/hIL6R mice

    抗人IL6抗体的体内疗效

    抗人IL6抗体在胶原诱导型关节炎(CIA)模型B-hIL6/hIL6R小鼠中的有效性。各组小鼠给予sirukumab(内部合成)治疗。每周两次,评价给药期间的体重变化(A)和临床评分(B)。在第21-28天期间,体重无显著变化,而除对照组外,各组的临床总评分增加。说明关节炎小鼠模型构建成功。sirukumab治疗组的临床评分下降,并呈剂量依赖性。结果表明,B-hIL6/hIL6R小鼠为体内评价抗人IL6抗体提供了一个强大的临床前模型。

    抗人IL6抗体的体内疗效


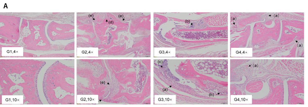
    抗人IL6抗体在胶原诱导型关节炎(CIA)模型B-hIL6/hIL6R小鼠中的有效性。在末端对肢体关节进行组织病理学检查。(A)苏木精和伊红(H&E)染色。(B)关节炎组织学评分。G1未见明显异常改变。G2显示骨结构损伤(d),关节腔或关节周围间隙消失(e),可见血管翳(a),说明CIA模型建立成功。与G2组相比,低剂量组(G3)显示轻微的炎性细胞浸润(b)和血管翳(a)以及滑膜增生(c)。而高剂量组(G4)仅有部分血管翳,关节病变消失,关节腔明显。

    CAIA(Collagen antibody Induced Arthritis)

    基于C57BL/6和Balb/C小鼠建立CAIA模型


    组织学分析

    组织切片用(H&E)染色(A),对脊髓浸润性炎症细胞(B)进行评分。C57BL/6小鼠CAIA模型的临床评分(C)、体重变化(D)、发生率(E)。

    百奥动物近些年构建的多种关节炎小鼠模型正在逐步趋于稳定,应用场景也更加符合临床需求。更多的药效相关服务,骨关节炎模型,骨质疏松模型等,正在研究进行中,感兴趣的欢迎联系我们获取相关资料。

    气温骤降,比天气预报还准时的关节肿痛折磨的关节炎患者苦不堪言。寒潮来袭,你的关节还OK吗?大家记得穿好秋裤,别被关节炎KO了哦~

    参考资料

    1.Tateiwa, D., Yoshikawa, H. & Kaito, T. Cartilage and Bone Destruction in Arthritis: Pathogenesis and Treatment Strategy: A Literature Review. Cells 8, doi:10.3390/cells8080818 (2019).

    2.IL-1 and autoinflammatory disease: biology, pathogenesis and therapeutic targeting

    3.Cancer Lett. 2008 Aug 28;267(2):226-44.

    4.PET/CT With 68Ga-SPP1 in Prostate Cancer: Radiopharmaceutical Background and Clinical Im plications

    5.Dai SM, Shan ZZ, Xu H, Nishioka K. Cellular targets of interleukin-18 in rheumatoid arthritis. Ann Rheum Dis. 2007;66(11):1411-1418. doi:10.1136/ard.2006.067793