您可能也喜欢

    感觉生物学起步较晚但发展快速的领域-你为什么会痒

    感觉生物学起步较晚但发展快速的领域-你为什么会痒

    May 16, 2023
    Share on:
    “瘙痒是一种能引起强烈搔抓渴望的不快的感觉。“关于瘙痒的定义是300多年前由德国医生塞缪尔.哈芬莱弗(Samuel Hafenreffer)第一次提出的,一直沿用至今。许多炎症性疾病,如特应性皮炎、过敏性鼻炎、支气管哮喘等常常伴随强烈瘙痒。

    细胞因子
    细胞因子是免疫反应中的重要因子;近几年的单细胞测序分析表明,痒觉响应的初级感觉神经元中也有许多亚群表达各类细胞因子受体。近20年来神经免疫领域的研究也证实,细胞因子及其受体是触发慢性痒的重要因素之一。

    神经元瘙痒受体的激活和下游信号传导[1]

    白介素-31(interleukin-31,IL-31)与特应性皮炎和瘙痒有关,主要由TH2型T细胞产生。IL-31受体由IL-31RA和OSMRb组成,表达于周围感觉神经、皮肤角质细胞和免疫细胞。相应的,IL-31R与IL-31相互作用,会导致瘙痒、皮肤屏障受损和炎症,以及其他炎性因子的分泌。

    胸腺基质淋巴细胞生成素(thymic stromal lymphopoietin, TSLP),是一种与IL-7互为远距离旁系同源的,归属于短链四α螺旋束Ⅰ型IL-2家族的多效性细胞因子。研究表明 TSLP可以通过 TRPA1 阳性神经元上的 TSLP 受体直接促进瘙痒,反过来,抓挠会诱导表皮角质细胞进一步表达 TSLP,持续性搔抓行为则会加重痒的感觉,形成“越抓越痒、越痒越抓”的恶性循环(the vicious itch-scratch cycle)。

    白细胞介素4 (interleukin-4, IL4)主要由T细胞、自然杀伤T细胞、肥大细胞和嗜酸性粒细胞产生。受体在多种痒觉相关伤害感受神经元中均有表达,且与氯喹、组胺、TSLP反应性神经元重合。当IL4受体被激活,JAK(Janus kinase)信号通路与TRPV1和TRPA1共同作用,引起神经元内钙离子浓度升高,诱发瘙痒行为。

    为了更好的研究和开发瘙痒相关疾病疗法,百奥动物开发了一系列瘙痒相关靶点人源化小鼠,助力相关药物的临床前药效评估。

    B-hIL31/hIL31RA/hOSMR mice

    hIL31诱导B-hIL31/hIL31RA/hOSMR小鼠瘙痒及IL-31抗体药效

    在第0、3、7、10天分别给与纯合B-hIL31/hIL31RA/hOSMR小鼠(雌性,n=3)注射hIL-31,并记录hIL-31注射后3h小鼠的抓痕计数。以注射hIL-31前记录抓痕计数作为基线。如图所示,hIL-31在纯合B-hIL31/hIL31RA/hOSMR小鼠中成功诱导瘙痒。一种靶向IL-31信号的抗体作为阳性对照,在我们的模型中显示出显著的止痒效果(经客户验证)。

    B-hTSLP/hTSLPR mice
    Oxazolone诱导特应性皮炎样皮损


    抗人TSLP抗体对Oxazolone诱导特应性皮炎小鼠模型的药效

    各组小鼠均采用抗hTSLP抗体tezepelumab(内部合成)治疗。(A)各组耳表皮厚度统计分析。第18天开始,耳表皮开始脱皮。因此,从第18天开始,耳表皮厚度逐渐减少,如图所示。(B)治疗期间体重变化。(C)血清总IgE水平。第26天采集血清,ELISA法测定总IgE水平。(n = 8)。

    B-hTSLP/hTSLPR小鼠特应性皮炎模型耳皮肤H&E染色。(A)H&E染色。(B)耳表皮皮肤厚度。(C)耳表皮皮肤嗜酸性粒细胞浸润评分。(D)耳表皮皮肤总分。与同型对照组相比,地塞米松或tezepelumab(内部合成)治疗组耳厚和耳皮肤嗜酸性粒细胞浸润评分显著降低,表明B-hTSLP/hTSLPR小鼠为体内评价抗人TSLP抗体提供了强有力的临床前模型。

    B-hIL4/hIL4RA mice
    Oxazolone诱导特应性皮炎样皮损


    抗人IL4RA抗体对Oxazolone诱导特应性皮炎小鼠模型的药效


    各组小鼠均使用杜匹单抗(内部合成)治疗。剂量在图例中显示。(A)治疗期间体重变化。(B)各组耳表皮厚度统计分析。第18天开始,耳表皮开始脱皮。因此,从第18天开始,耳部厚度逐渐减小,如图所示。(C)血清总IgE水平。第26天采用ELISA法检测总IgE水平。耳厚和血清总IgE浓度与抗体剂量呈负相关。(n = 5)。



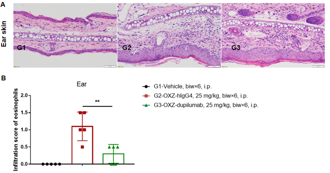
    B-hIL4/IL4RA小鼠特应性皮炎模型耳皮肤H&E染色。(A)H&E染色。(B)耳表皮皮肤嗜酸性粒细胞浸润评分(n=5)。给药后耳皮肤嗜酸性粒细胞浸润分数显著降低,表明B-hIL4/hIL4RA小鼠为体内评估抗人IL4RA抗体提供了强有力的临床前模型。

    瘙痒相关人源化小鼠模型



    参考文献

    [1] Dong X, Dong X. Peripheral and Central Mechanisms of Itch. Neuron. 2018 May2;98(3):482-494. doi: 10.1016/j.neuron.2018.03.023. PMID: 29723501; PMCID:PMC6022762.