
您可能也喜欢
大麻在医药领域已应用了数千年,其活性成分是大麻素。人体内也有与大麻素作用相似的化合物,称为内源性大麻素,主要包括2-AG、EAE等。
上世纪 90 年代,以色列科学家发现了内源性大麻素系统(包括大麻素受体、内源性大麻素及其参与大麻素生成和降解的多种酶),因其在神经系统、代谢、免疫系统、心血管系统、消化系统等方面发挥着重要的调控作用, 被称为“人体第十大系统”。
	 
大麻素结构家族的原型结构[1]
大麻素通过特异性大麻素受体发挥作用。目前公认的大麻素受体有两类:I型大麻素受体(Cannabinoid Receptor 1,CNR1,又称CB1、CB1R)和II型大麻素受体(CB2),二者均为GPCR。
	 
内源性大麻素系统:功能、分布和组成[2]
I型大麻素受体CB1
CB1主要位于脑、脊髓与外周神经系统,故又称中枢型大麻素受体,它的激活可降低多巴胺、GABA等神经递质的释放,从而调节人体新陈代谢、食欲、疼痛、记忆和学习、神经系统和心血管系统等诸多方面[3]。
早在2000年,CB1靶向药物就被寄予厚望成为重磅药物。赛诺菲的药物Rimonabant或Acomplia在欧洲获得了批准,但未能获得FDA批准。由于这种药物进入大脑后有引发了抑郁症和自杀风险,于2008年因安全问题撤市。默克(Merck)、辉瑞(Pfizer)和其他药企也放弃该管线研发,Evaluate Pharma测算该类药物损失140亿美元的市场。
CB1药物的开发由于安全性问题一度处于停滞状态,直到今年作为减肥药的新靶点重新收获关注。今年8月10日,诺和诺德宣布以高达10.75亿美元收购加拿大生物技术公司Inversago Pharma,其首发管线INV-202是一种具有治疗肥胖、糖尿病等代谢疾病潜力的CB1抑制剂。
目前的CB1上市药物主要来自于植物大麻的天然提取物。相对于天然产物,化学合成的靶向药副作用较大,主要归因于CB1介导的信号转导机制过于复杂限制了其药物研发进度。目前在研的药物治疗领域非常广泛,包括肥胖、成瘾、精神类疾病、镇痛、糖尿病、肿瘤、心脑血管疾病、类风湿、哮喘、肝病、多发性硬化、抑郁症等。
	 
数据来自cortellis
II型大麻素受体CB2
CB2主要分布于外周免疫细胞,参与机体的免疫应答。直接接激活 CB1 受体的化合物治疗开发的一个主要限制是不必要的精神病理学作用,这些CB1介导的精神病理学作用严重限制了CB1激动剂的开发。与之相反,CB2受体的激活似乎不会产生这些精神病理学效应。
CB2适应症广泛,涉及各类疼痛、炎症性疾病、神经退行性疾病、癌症、自免性疾病如多发性硬化和哮喘等[4]。但目前针对CB2的激动剂选择性差,通常会非特异性激活CB1而引起CNS副作用。迄今为止并没有靶向CB2受体的相关药物成功上市。
百奥动物自主开发B-hCB1 mice、B-hCB2 mice人源化小鼠,助力I型大麻素受体CB1和II型大麻素受体CB2靶点的临床前药物研发。
	
B-hCB1 mice
1、基本信息
	 
2、mRNA表达分析
	 
野生型小鼠和B-hCB1小鼠CB1基因种属特异性表达的RT-PCR分析
小鼠CB1 mRNA仅在野生型小鼠的小脑和脑细胞中检测到。人CB1 mRNA仅在纯合子B-hCB1小鼠的小脑和脑细胞中检测到,而在野生型小鼠中检测不到。
3、蛋白表达分析
	 
B-hCB1纯合子小鼠种属特异性CB1表达的Western blot分析
采集野生型C57BL/6小鼠(+/+)和纯合子B-hCB1小鼠(H/H)的小脑和脑组织,用人鼠交叉识别的抗CB1抗体进行Western blot分析。小鼠和人CB1在野生型小鼠和纯合子B-hCB1小鼠中均可检测到。
4、基于B-hCB1小鼠的DIO模型体内药效
B-hCB1小鼠DIO模型体重
	
 
30只纯合子动物按体重随机分为2组,A组8只饲喂STD, B组22只饲喂HFD。用HFD诱导B-hCB1小鼠DIO模型12周后,随机分为3组(G2、G3、G4),分别给予不同药物处理(n=7 ~ 8)。(A)实验处理示意图。(B) DIO造模12周后的体重。(C-D)各组治疗后体重及体重变化情况。如图B所示,与STD组相比,HFD组体重明显增加,说明B- hCB1小鼠可以成功诱导肥胖模型。如图C和D所示,与HFD对照组相比,CB1拮抗剂和杜拉鲁肽可显著减轻体重。数值以平均值±SEM表示。
CB1拮抗剂降低雄性B-hCB1小鼠的血糖
	 
(A)随机血糖。(B)治疗后第27天空腹血糖。(C-D)葡萄糖耐量试验。如图所示,CB1拮抗剂和杜拉鲁肽可以降低雄性B-hCB1小鼠的随机血糖和空腹血糖,提高糖耐量。数值以平均值±SEM表示。
CB1拮抗剂改善雄性B-hCB1小鼠脂质代谢
	 
(A)肝脏TG。(B)肝脏TC。(C)血液中的TG。(D)血液中的TC。如图所示,CB1拮抗剂和杜拉鲁肽可降低肝脏TG和血液TC水平。数值以平均值±SEM表示。
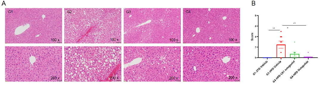
CB1拮抗剂可减轻雄性B-hCB1小鼠饮食性肥胖引起的肝损伤
	 
(A)具有代表性的H&E染色肝脏图像(每组n = 7-8个代表性数据集)。(B)肝细胞脂肪变性、小叶炎症和肝细胞球囊变性评分的统计分析。数值以平均值±SD表示。*p<0.05.
B-hCB2 mice
1、基本信息
	 
2、mRNA表达分析
	 
野生型小鼠和B-hCB2小鼠CB2基因种属特异性表达的RT-PCR分析
小鼠CB2 mRNA仅在野生型小鼠脾细胞中检测到。人CB2 mRNA仅在纯合子B-hCB2脾细胞中检测到,而在野生型小鼠中检测不到。
参考资料
[1]Shahbazi, F., Grandi, V., Banerjee, A. & Trant, J.F. Cannabinoids and Cannabinoid Receptors: The Story so Far. iScience 23, 101301 (2020).
[2]Oier Aizpurua-Olaizola , Izaskun Elezgarai. et al.Targeting the endocannabinoid system: future therapeutic strategies.Drug Discovery Today . Volume 00, Number 00 . August 2016.
[3]Howlett, A. C. International Union of Pharmacology. XXVII. Classification of Cannabinoid Receptors. Pharmacological Reviews, 2002, 54(2), 161-202.
[3]Ariane Mallat, Fatima Teixeira-Clerc, Sophie Lotersztajn. Cannabinoid signaling and liver therapeutics. Journal of Hepatology 2013 vol. 59 j 891-896
[4]Banaszkiewicz, I., Biala, G. & Kruk-Slomka, M. Contribution of CB2 receptors in schizophrenia-related symptoms in various animal models: Short review. Neurosci Biobehav Rev 114, 158-171 (2020).