您可能也喜欢
系统性红斑狼疮(Systemic lupus erythematosus , SLE)是一种异质性自身免疫性疾病,发病机制复杂,由免疫失调、遗传、环境和激素等因素共同引起,可造成关节、皮肤、肾脏等器官损伤,严重者危及生命。SLE全球患病超过340万人,每年新发病约40万人,约90%是女性[1]。
图1. SLE 广泛的临床表现和免疫学异常是患者异质性的基础[2]
患者可能表现出任何特征组合,并且这些特征可能会随着疾病和治疗的过程而改变
SLE治疗靶点及在研药物进展
免疫系统失调是导致SLE的重要因素。中性粒细胞外陷阱(NETs)和凋亡细胞通过Toll样受体特别是TLR7和9诱导浆细胞样树突状细胞(pDC)产生I型干扰素(IFN)等细胞因子,促使自身反应性T细胞及B细胞的活化和增殖、Treg细胞的减少,进而产生大量自身抗体和促炎细胞因子导致组织和器官损伤。因此靶向B细胞、T细胞、I型IFN及其他细胞因子等是治疗SLE的主要靶标[3]。
目前,已上市的三款SLE新药分别是GSK 公司的贝利尤单抗(BAFF单抗),荣昌生物的泰它西普(BAFF/APRIL 融合蛋白),阿斯利康的阿尼鲁单抗(IFNAR)。在研药物靶点包括靶向B细胞:CD19、CD22、CD20、CD38、BAFF/APRIL等,靶向T细胞:共刺激因子CD28-CD80/CD86和CD40/CD40L、CTLA4、PD-1等,靶向胞内信号转导途径:JAK1/JAK2、BTK等,靶向DC细胞:TLR、BDCA2(血液树突状细胞抗原2)等,靶向细胞因子:IL12/IL23、IL17、IFN等。
图2. SLE治疗性靶点[4]
更多新疗法和新靶点也为SLE的治疗开辟了新的可能性。有研究报道,年龄相关B细胞(ABCs)在自身免疫过程中积累,有助于狼疮的发病。2024年1月25日,上海交通大学沈南团队在Science 在线发表研究论文,发现锌指E-box binding homeobox 2 (ZEB2)是B细胞自身免疫的一种驱动因子,可能成为潜在治疗靶点。
CAR-T细胞疗法目前被用于自身免疫疾病治疗的探索。2022年10月,Georg Schett教授团队在《Natrue Medicine》发表文章”Anti-CD19 CAR T cell therapy for refractory systemic lupus erythematosus”,对5名SLE患者进行自体CD19- CAR-T细胞回输,实现了持续性缓解,长期随访未发现复发,表明CD19 CAR-T移植治疗SLE的可行性[5]。2023年4月10日,药明巨诺开发的瑞基奥仑赛注射液(CD19 自体CAR-T细胞)获NMPA批准开展用于治疗中重度难治性系统性红斑狼疮的临床试验。亘喜生物(已被阿斯利康收购) GC012F ( CD19/BCMA 自体CAR-T),既能杀伤表达 CD19 的 B 细胞,也能杀伤表达 BCMA 的浆细胞, 已获FDA和NMPA批准开展SLE的 I/II 期 临床研究 。
图3.CD19 CAR-T细胞治疗SLE患者的流程[5]
多种药物已经为SLE患者带来一些希望,但SLE机制复杂、临床充满诸多挑战,仍然迫切开发新疗法来满足临床需求。
SLE动物模型及药效评估
SLE小鼠模型分为自发性小鼠模型、诱导小鼠模型和人源化小鼠模型。百奥动物构建了Pristane诱导的SLE小鼠模型、MRL/lpr自发SLE小鼠模型,用于SLE治疗药物的药理药效评估。
Pristane诱导的SLE小鼠模型
Pristane注射小鼠后产生自身抗体,会出现肾小球肾炎和关节炎等症状。
基于Balb/c小鼠构建Pristane诱导SLE模型


注射Pristane后,尿液中的蛋白尿 (A) 和血清中的小鼠抗 dsDNA IgG (B) 含量升高。
SLE模型肾脏的组织学分析。H&E染色(C)、PAS染色(D)、Masson染色(E)显示模型组肾小球基质细胞增生、肾小球硬化、蛋白管型及纤维化。
基于B-hCD40小鼠构建Pristane诱导SLE模型

Pristane诱导的B-hCD40小鼠 SLE模型经抗 CD40 抗体处理后血清中小鼠抗 dsDNA IgG 含量降低。
SLE相关靶点人源化小鼠列表
MRL/lpr自发SLE小鼠模型
MRL/lpr小鼠是常见的自发SLE小鼠模型表现为淋巴结肿大, T细胞自身反应性增强,有自身抗体产生及肾小球肾炎的发生;可用于评估鼠源抗体及鼠CAR-T/CAR-NK细胞治疗SLE的效果。

不同时间点体重、尿蛋白、生存曲线、血清抗dsDNA、ANA变化。
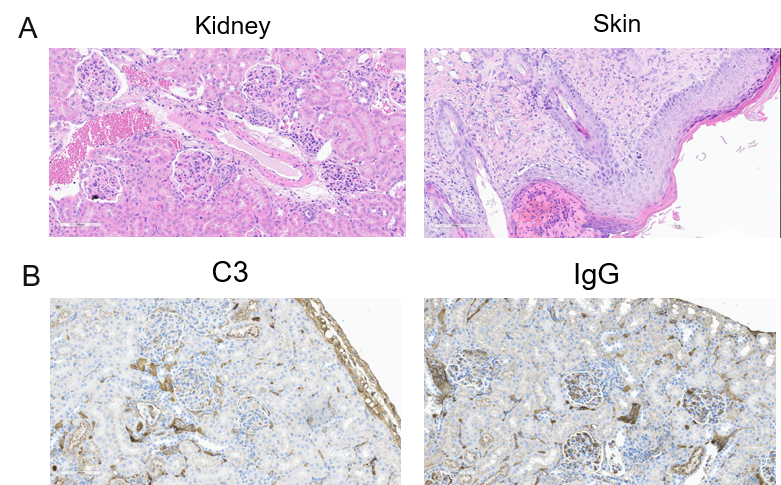
MRL/lpr小鼠自发SLE模型的肾脏组织学分析(20周龄)。A.肾脏可见肾小球肥大、肾小球细胞增生、基质增多;皮肤可见表皮细胞增生、表皮增厚、角化过度伴角化不足、真皮炎症细胞浸润。B.肾脏中C3和IgG沉积
百奥赛图自免代谢药效平台
百奥赛图构建系列自免及代谢疾病模型,具备完善的体外检测及病理分析平台,可评估自免代谢药物药效。
参考资料
[1] Tian J, Zhang D, Yao X, Huang Y, Lu Q. Global epidemiology of systemic lupus erythematosus: a comprehensive systematic analysis and modelling study. Ann Rheum Dis. 2023 Mar;82(3):351-356.
[2] Allen ME, Rus V, Szeto GL. Leveraging Heterogeneity in Systemic Lupus Erythematosus for New Therapies. Trends Mol Med. 2021 Feb;27(2):152-171.
[3]Tsokos, George C.; Lo, Mindy S.; Reis, Patricia Costa; Sullivan, Kathleen E. (2016). New insights into the immunopathogenesis of systemic lupus erythematosus. Nature Reviews Rheumatology, 12(12), 716-730. doi:10.1038/nrrheum.2016.186
[4] Murphy G, Isenberg DA. New therapies for systemic lupus erythematosus - past imperfect, future tense. Nat Rev Rheumatol. 2019 Jul;15(7):403-412.
[5] Jin X, Han Y, Wang JQ, Lu L. CAR-T cell therapy: new hope for systemic lupus erythematosus patients. Cell Mol Immunol. 2021 Dec;18(12):2581-2582.