您可能也喜欢
哮喘(Asthma)是一种慢性气道炎症性疾病,具有可变气流阻塞、气道高反应性(AHR)和气道炎症等特征。哮喘的主要临床症状是呼吸短促、气喘、咳嗽以及接触过敏原后粘液分泌增多。其发病是由遗传、表观遗传和环境因素之间的复杂相互作用引起的。不同的病理改变由气道上皮细胞、嗜酸性粒细胞和T淋巴细胞亚群等多种参与免疫应答的细胞介导,其中Th2细胞被认为在高嗜酸性粒细胞型哮喘中占主导地位,伴随细胞因子IL-4、IL-5和IL-13水平升高。经典的小鼠哮喘模型是卵清蛋白(OVA)诱导的气道炎症模型,小鼠经多次腹腔注射OVA致敏,雾化吸入OVA后激发,建立急性哮喘模型。其血清IgE和肺泡灌洗液中的嗜酸性粒细胞水平升高,病理组织切片染色显示:气道粘液及炎症性白细胞浸润增多。
01、呼吸系统
呼吸系统的主要功能是执行气体交换。此外呼吸系统还具有嗅觉、代谢和防御等其他非呼吸性功能。
呼吸系统包括导气部和呼吸部两部分,从鼻腔至肺内的终末细支气管为导气部,有温暖、湿润和过滤吸入气体的作用。肺内终末细支气管以下的分支为呼吸部,有气体交换的功能,在维持血氧和血中二氧化碳浓度中也起重要作用。
图1. 呼吸系统结构
图片来源:WHEATER’S Functional Histology
表1. 呼吸系统主要功能
资料来源:实验动物功能性组织学图谱
02、气管和支气管
气管位于颈部正中、食道腹侧,为肺外气体通道,背面由不相衔接的U形软骨环构成支撑。气管进入胸腔后,分为左右不对称的左、右主支气管,由肺门进入左、右肺。大鼠及小鼠的右支气管又分为前、中、后及副支。气管和支气管管壁结构相似,可分为三层,由内向外依次为黏膜、黏膜下层和外膜,黏膜由上皮和固有层构成。
图2. 小鼠气管 CaL:软骨层,E:上皮,LPM:黏膜固有层,Ad:外膜
黏膜上皮为假复层纤毛柱状上皮,由Clara细胞、纤毛柱状细胞、杯状细胞、基底细胞、刷细胞、神经内分泌细胞等构成。小鼠气管中Clara细胞最多,其次为纤毛柱状细胞、基底细胞。大鼠和小鼠气管的杯状细胞较少。气管受到外界不良刺激时,杯状细胞数量可增加。固有层为细密的结缔组织,其间可见大量弹性纤维。黏膜下层为疏松结缔组织,与固有层无明显分界。小鼠除靠近头端的一小段气管内有少量腺体外,其余部位黏膜下层内无气管腺。外膜由软骨层、软骨环外接肌层及疏松结缔组织组成,又称纤维膜。
表2. 气管黏膜上皮类型
资料来源[1]
03、肺
肺位于胸腔内,为海绵状,淡粉色,分为左、右两部分。大鼠和小鼠左肺为1叶,右肺分为4叶(前叶、中叶、后叶、副叶)。肺导气部由肺内小支气管、细支气管和终末细支气管组成。小鼠肺内支气管缺乏软骨、杯状细胞和黏膜下腺体,从肺内支气管转变为细支气管的分界并不清楚。上皮纤毛细胞减少,Clara细胞增加,气道至细支气管末端时, Clara细胞占上皮的60%~80%。肺呼吸部由呼吸性细支气管、肺泡管、肺泡囊和肺泡组成,小鼠肺内少见呼吸性细支气管。
图3. 肺分叶示意图
A.小鼠肺示意图;B.大鼠肺示意图;C.豚鼠肺示意图;D.兔肺示意图
细支气管上皮为单层立方上皮,在肺泡开口处,单层立方上皮移行为单层扁平上皮。肺泡上皮主要由Ⅰ型肺泡上皮细胞和Ⅱ型肺泡上皮细胞构成。Ⅰ型细胞扁平,只有有核部位较为突出,占肺内细胞数量的10%左右,覆盖肺泡表面的95%;Ⅱ型细胞位于Ⅰ型细胞之间,覆盖肺泡面积的5%,细胞立方形或圆形,顶端突入肺泡腔,细胞核呈圆形,胞质着色浅,呈泡沫状。Ⅰ型肺泡上皮细胞受损时,Ⅱ型肺泡上皮细胞可进行分裂,并分化为Ⅰ型肺泡上皮细胞。
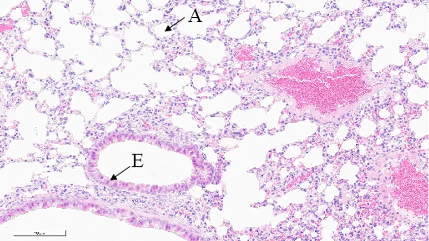
图4. 小鼠肺H&E染色示意图
A.肺泡 E:上皮
哮喘动物模型
以小鼠为哮喘模型实验动物,取材肺脏组织进行病理检测时,常规取材为左肺和右肺前叶,横切各取一块组织进行制片。H&E染色镜下观察主要包含两方面病理变化:肺脏血管及支气管周围混合炎细胞浸润和支气管黏液渗出,具体评分如下:
表4. 哮喘动物模型病理H&E评分标准
资料来源:百奥动物病理平台诊断标准
01、H&E评价

OVA诱导的急性哮喘模型:
低倍镜可见造模组小鼠肺脏细支气管黏液增多,血管及细支气管周围炎细胞浸润;高倍镜下可见炎细胞包括淋巴细胞、嗜酸性粒细胞、嗜中性粒细胞等。

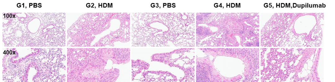
HDM诱导的急性哮喘模型:
低倍镜可见造模组小鼠肺脏细支气管黏液增多,血管及细支气管周围炎细胞浸润;高倍镜下可见炎细胞包括淋巴细胞、嗜酸性粒细胞、嗜中性粒细胞等。B-hIL4/hIL4RA小鼠造模效果较C57BL/6小鼠略重,阳性受试品Dup有显著药效。
02、PAS
可通过PAS染色检测肺内细支气管杯状细胞及其分泌的黏液,切片经Leica GT450全片扫描后,通过HALO软件的“Area Quantification” 模块对肺脏细支气管中杯状细胞及黏液进行分析,“% PAS Positive Tissue”指紫红染的杯状细胞/支气管黏液面积占肺脏总面积的百分比。
左图为原图,右图为HALO分析识别后示意图。对照组肺脏细支气管未见PAS阳性染色,造模组可见肺脏细支气管内有紫红染的杯状细胞/黏液阳性结果,经HALO分析识别后,显示为红色。
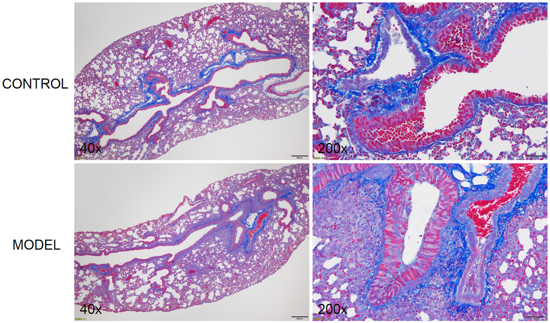
03、Masson
可通过MASSON染色检测肺内细支气管壁胶原纤维增生情况,图中蓝色染色为胶原纤维。小鼠细支气管较细,造模后气道胶原纤维增生不明显,与对照组未见显著差异。
参考资料:
[1]、实验动物比较组织学彩色图谱,秦川,科学出版社。