您可能也喜欢
类风湿性关节炎(Rheumatoid Arthritis,RA)是人类最常见的自身免疫性疾病之一,其临床症状主要表现有全身关节肿胀、疼痛和运动失调等,病情极其严重的甚至可能会导致残疾。RA完整的发病机制并不明确,而病理主要表现出增生性滑膜炎、血管翳、软骨损伤以及骨结构的破坏。
为了更好的研究人类的类风湿性关节炎,研究者在小鼠上开发出多种能模拟人类类风湿性关节炎的动物模型,而这之中胶原诱导型关节炎,能最大程度反映出人类类风湿性关节炎的临床和病理特征。
骨、关节组织学
骨
骨组织是一种高密度的结缔组织,由骨膜、骨质和骨髓构成,具有丰富的血管和神经分布。骨具有支撑软组织、保护器官、构成关节等作用。
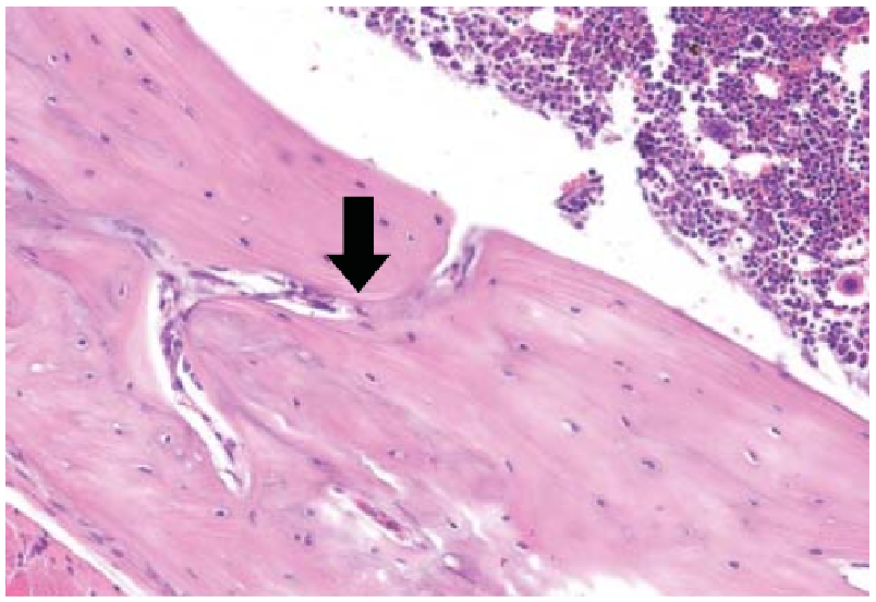
图1. 小鼠股骨[1]
股骨成熟致密骨显示嵌入胶原基质中的骨细胞。还可见营养动脉(箭头)和骨髓(右上角)
表1. 骨组织类型、组织特征和分布
数据来源[2]
关节
关节是骨与骨之间连接结构,通常分为活动关节和不动关节两种。活动关节也称关节,具有屈曲、伸展和旋转活动功能,如四肢的肩、肘、指、髋和膝关节等。不动关节不能屈伸旋转等活动,如椎间、腰骶和骶尾连接等。
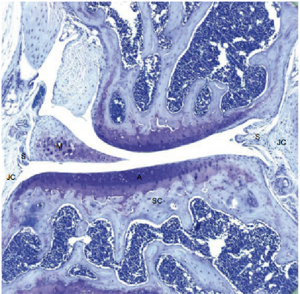
图2. 啮齿动物(小鼠)膝关节冠状切片,甲苯胺蓝染色[3]
滑膜(S)、半月板(M)、关节囊(JC)、关节软骨(A)、软骨下骨(SC)
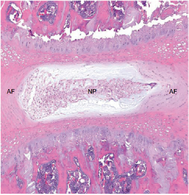
图3. 啮齿动物(大鼠)胸椎间盘[3]
中央髓核(NP)包括疏松黏液状软骨基质。周围胶原环纤瘤(AF)附着在脊椎的软骨终板上。
可动关节通常由关节囊、关节面和关节腔构成。关节囊包围在关节外面,关节面光滑,关节腔内含少量关节液,起润滑和营养关节软骨的作用。关节周围有许多肌腱和肌肉附着,当肌肉收缩时,关节可做伸、屈、外展、内收及旋转等运动。关节腔内的软骨板和韧带等结构具有支持和加强关节稳定的作用。
关节囊分内、外两层。外层与骨外膜连接,含有排列紧密的纤维。内层疏松光滑,也称滑膜,向关节腔内突出形成滑膜皱褶或绒毛。滑膜内层被覆1~4层滑膜细胞。滑膜细胞可分两型:A型细胞为巨噬细胞样细胞,富含溶酶体,具有吞噬功能,清除关节内的各种碎屑。B型细胞为成纤维细胞样细胞,富含粗面内质网。
两种滑膜细胞都能分泌聚透明质酸和黏蛋白等。关节液中除含水、透明质酸、黏蛋白和电解质等外,还有少量细胞,主要为淋巴细胞和巨噬细胞。
图4. 人膝关节[3]
关节炎动物模型病理评价
以小鼠为关节炎模型实验动物,取材关节进行病理检测时,常规取材为四肢(包含踝关节,图3中红框),保留四肢皮肤,脱钙后矢状面切片进行制片。HE染色镜下观察,具体评分如下:
图3. 啮齿动物(小鼠)骨骼结构[3]
表2. 关节炎动物模型病理HE评分标准
说明:每只动物取四肢进行组织病理学检查,对四肢的指骨关节及踝关节分别进行评分,并选取指骨关节及踝关节的最高分代表该肢的病变程度,四肢的评分选取最高分代表每只动物的病变程度。
H&E评价
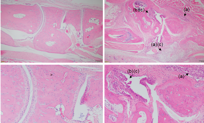
胶原诱导型关节炎动物模型(Collagen-Induced Arthritis,CIA)
(a)炎细胞浸润;(b)滑膜增生;(c)血管翳;(d)骨组织损伤;(e)关节腔或关节周围腔隙消失
C57BL/6N野生鼠造模组和B-hCD40人源化鼠造模组四肢关节可见皮下混合炎细胞浸润,关节滑膜炎和/或血管翳形成,踝关节和/或趾骨关节软骨和骨组织破坏等关节炎病变,提示造模成功。B-hCD40人源化鼠造模较C57BL/6N野生鼠略轻。
抗人IL-6抗体sirukumab(内部合成)在小鼠关节炎模型(CIA)中的药效作用

(a)炎细胞浸润;(b)滑膜增生;(c)血管翳;(d)骨组织损伤;(e)关节腔或关节周围腔隙消失
B-hIL6/hIL6R(V2)小鼠PBS对照组四肢关节未见明显病变,造模组G2四肢关节可见皮下混合炎细胞浸润,关节滑膜炎和/或血管翳形成,踝关节和/或趾骨关节软骨和骨组织破坏等关节炎病变,提示造模成功。受试品L6-sirukumab-IgG1在低剂量(G3)和高剂量(G4)时均对动物关节炎病变具有一定改善作用。
参考资料
[1] A Practical Guide to the Histology of the Mouse
[2] 实验动物功能性组织学图谱
[3] Comparative Anatomy and Histology A Mouse, Rat, and Human Atlas.