您可能也喜欢
炎症性肠病(Inflammatory Bowel Disease, IBD)是结肠或胃肠道的非特异性慢性炎症性疾病,包括溃疡性结肠炎(ulcerative colitis,UC)和克罗恩病(Crohn’s disease,CD)。IBD的临床症状包括反复发作的腹泻、腹痛、肠出血/便血、发热、体重减轻。IBD的致病机理尚不明确,研究表明易感基因、免疫系统、外界环境和肠道微生物等多种因素均与疾病发生相关。目前有多种临床前小鼠模型用于研究IBD,基于不同诱导方法得到的疾病模型具有特定的用途。
目前已获批并可用的IBD免疫治疗策略包括:四种TNF抗体药物Infliximab,Adalimumab,Certolizumab和Golimumab。Ustekinumab是阻断IL-12/23复合物p40亚单位受体的人源单克隆IgG抗体。Tofacitinib是JAK/STAT途径中的JAK抑制剂。[1]
目前有多种临床前小鼠模型用于IBD的研究,基于不同的诱导方法得到的疾病模型具有不同的用途。具体造模方法总结如下图:
百奥赛图在不同背景小鼠上基于不同诱导方法建立了稳定的IBD疾病模型,本次就DSS诱导的急性、慢性结肠炎小鼠模型进行简单介绍。
DSS诱导的IBD小鼠模型
葡聚糖硫酸钠(Dextran Sulfate Sodium Salt,DSS)诱导的小鼠肠炎模型是使用最广泛的化学诱导小鼠IBD模型。通过将DSS溶于饮用水中诱发急性溃疡性肠炎或者慢性结肠炎,破坏小鼠肠上皮细胞,非特异性免疫细胞释放细胞因子,最终导致黏膜屏障的完整性遭到破坏,动物表现出明显的体重减轻、稀便、便血以及粒细胞浸润现象,在临床症状和病理特征上与人类的溃疡性结肠炎极其相似。
IBD小鼠模型的建立
CsA对IBD小鼠模型的药效验证
临床评估(DAI评分:(疾病活动指数))
C57BL/6小鼠连续7天饮用含DSS的饮用水,全程记录体重变化并进行临床评分。数值以平均值±SEM表示。****p<0.0001,***p<0.001。
大体取材和结肠评估
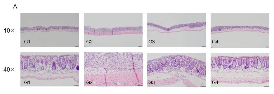
IBD小鼠模型结肠组织学评估

苏木精和H&E染色横截面的光学显微照片(10倍和40倍放大)。数值以平均值±SEM表示。***p<0.001,**p<0.01,*p<0.05。
DSS诱导的急性结肠炎
抗IL12/23p40对DSS诱导的急性结肠炎的影响。C57BL/6小鼠连续5天通过饮水摄入3% DSS,第0~7天每天注射CsA,第2、6、8天注射抗IL12/23P40(A)。每天记录小鼠体重和排泄物(B、C),最后收集结肠进行H&E染色,记录结肠长度(D)和重量(E)。CsA和抗IL12/23可减轻3% DSS诱导的溃疡性结肠炎。数值以平均值±SEM表示,*P<0.05, **P<0.01。
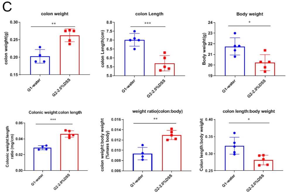
DSS诱导的慢性结肠炎


DSS诱导的慢性结肠炎。小鼠反复暴露于4个周期的DSS。每个周期含2% DSS 5天,随后2天饮水(A)。记录体重(B)、结肠重量和长度(C)。收集结肠进行组织学分析(D)。与饮水组相比,DSS组小鼠体重较低(B),结肠重量较高且长度较短(C)。DSS引起结肠慢性炎症、溃疡和纤维化。均值±标准差,n=4-6,*P<0.05,**P<0.01。
可提供服务内容
参考文献
1.Immunology of Inflammatory Bowel Disease: Molecular Mechanisms and Therapeutics. J Inflamm Res.2022; 15: 1825-1844.